
Por Que Tantas Pessoas Adiam o Dentista
Dentista dói, certo?
É muito caro
Não tenho tempo
A última experiência foi ruim
Você sabe que precisa cuidar dos dentes. Mas sempre fica para depois. Porque dentista dói, certo? Porque é caro. Porque você não tem tempo. Porque a última experiência foi ruim e você jurou nunca mais voltar.
A verdade é que o medo e a desconfiança foram construídos por experiências ruins do passado. Profissionais apressados. Orçamentos que explodem no meio do tratamento. Aquela sensação de estar sendo empurrado para procedimentos que você nem sabe se precisa de verdade.
E enquanto isso, o problema só piora. Aquela dor que você ignora hoje vira um canal amanhã. Aquele dente que poderia ser salvo precisa ser extraído. O que custaria pouco se torna caro porque você esperou demais.
Não é sua culpa ter medo ou desconfiar. É culpa de um sistema que esqueceu que por trás de cada boca existe uma pessoa que merece ser ouvida, respeitada e tratada com honestidade.
Odontologia Que Coloca Você em Primeiro Lugar
Aqui na Oral Lotus, a Dra. Luana Bragança e sua Equipe de Especialistas fazem a diferença desde 2023.
Não empurramos tratamentos. Explicamos cada passo com clareza total, mostramos todas as opções e deixamos você decidir o que faz sentido para o seu bolso e para a sua vida. Sem pressão. Sem surpresas no orçamento. Sem pressa.
Nossa equipe foi treinada para tratar você como gostaríamos de ser tratados. Desde o primeiro telefonema até a última consulta de retorno, você vai sentir que está sendo cuidado por pessoas que realmente se importam.
Explicamos cada passo com clareza total
Tratamos você como gostaríamos de ser tratados
Relação de confiança que dura anos
Tecnologia moderna e mãos experientes

"Imagine acordar sem dor. Sorrir sem vergonha. Morder a comida que você ama sem medo."
Para Quem É Nosso Atendimento
Cuidamos de você em cada etapa da sua jornada para um sorriso saudável
Quem Precisa Resolver um Problema Urgente
Dor de dente, canal, extração ou qualquer emergência que não pode esperar. Atendemos rápido e resolvemos com cuidado.
Quem Quer Melhorar a Aparência do Sorriso
Facetas, clareamento, ortodontia ou implantes para recuperar a autoestima e voltar a sorrir sem esconder a boca.
Quem Busca Prevenção e Cuidado Contínuo
Famílias que querem manter a saúde bucal em dia com limpezas regulares, check-ups e um dentista de confiança para a vida toda.
Por Que a Oral Lotus É Diferente
Tratamento de Alta Qualidade Sem Pesar no Bolso
Oferecemos os mesmos procedimentos de clínicas premium, mas com preços justos. Você não precisa escolher entre qualidade e o que cabe no seu orçamento.
Equipe Completa de Especialistas no Mesmo Lugar
Implantes, ortodontia, facetas, canal e mais. Tudo resolvido aqui, sem precisar procurar vários dentistas em lugares diferentes. Seu tratamento completo em uma única clínica.
Atendimento Humanizado Que Cuida de Você
Sabemos que ir ao dentista pode gerar ansiedade. Nossa equipe trata cada paciente como parte da família, explicando cada etapa e garantindo seu conforto do início ao fim.
Nossos Procedimentos
Tratamentos completos e personalizados para transformar seu sorriso

Check-up Preventivo e Limpeza Profissional
💡 O que é:
É o cuidado básico para manter sua boca saudável, removendo tártaro e manchas que a escovação comum não alcança.
✨ Benefícios:
Garante um hálito fresco e gengivas saudáveis.
🎯 Por que você quer:
Evita dores inesperadas e tratamentos caros no futuro. É aquela sensação de "boca limpa e renovada" que traz segurança ao falar e sorrir de perto.

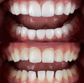
Clareamento Dental a Laser ou Caseiro
💡 O que é:
Procedimentos seguros para remover o amarelado dos dentes e devolver o brilho natural.
✨ Benefícios:
Rejuvenesce o rosto e realça a beleza do seu sorriso.
🎯 Por que você quer:
Imagine a confiança de tirar fotos ou participar de reuniões sabendo que seu sorriso está radiante e atraente. É o "up" imediato na sua autoestima.
O Que Nossos Pacientes Dizem
Veja o que quem já confia na Oral Lotus tem a dizer












👆 Passe o mouse sobre os depoimentos para pausar a animação
Como a Oral Lotus Nasceu
Para Mudar a Odontologia na Região
Em 2023, tínhamos uma certeza:
a odontologia na Região dos Lagos precisava ser diferente.
Víamos pessoas adiando tratamentos por medo de serem enganadas com orçamentos inflados. Pacientes que desistiam no meio do caminho porque não se sentiam acolhidos. Famílias que precisavam rodar várias clínicas para encontrar todos os especialistas que precisavam.
Percebemos que faltava algo essencial: honestidade, qualidade real e um time que tratasse cada pessoa como única.
Foi aí que decidimos construir a Oral Lotus de um jeito diferente. Montamos uma equipe onde cada profissional é extremamente dedicado.
O resultado veio. Crescemos porque nossos pacientes voltam e trazem suas famílias. Porque entregamos o que prometemos: tratamento de qualidade, com honestidade, pensando no longo prazo.
Agradecemos cada colaborador e dentista que mantém esse padrão alto todos os dias. E esperamos você aqui para fazer parte dessa história.

Desde 2023
Transformando sorrisos na Região dos Lagos
O Que Você Recebe
Seu caminho para um sorriso perfeito em 3 passos
PASSO 1: PRIMEIRA CONSULTA COMPLETA
Avaliação detalhada da sua saúde bucal com tecnologia de ponta. Identificamos cada necessidade e montamos seu plano personalizado. Você sai sabendo exatamente o que precisa fazer.

PASSO 2: TRATAMENTO ESPECIALIZADO
Cada procedimento é realizado por dentistas experientes nas especialidades certas. Implantes, ortodontia, facetas ou canal. Tudo feito com precisão e cuidado para durar anos.

PASSO 3: ACOMPANHAMENTO CONTÍNUO
Consultas de retorno programadas para garantir que tudo está perfeito. Seu sorriso fica protegido com manutenções regulares. Nada de surpresas desagradáveis depois.

O Investimento no Seu Sorriso
Escolha o pacote ideal para suas necessidades e orçamento
Pacote Essencial
Cuidado Preventivo
Consulte valores pelo WhatsApp
Pacote Personalizado
Atendimento Sob Medida
Parcelamento facilitado disponível
Garantia Total de Qualidade
Seu Sorriso Protegido
Todos os tratamentos realizados na Oral Lotus contam com garantia de qualidade. Se qualquer procedimento apresentar problema por falha técnica, refazemos sem custo adicional.
Trabalhamos apenas com materiais de primeira linha e profissionais experientes porque queremos que você tenha resultados duradouros. Sua satisfação é nossa prioridade desde 2023, e isso se reflete nas avaliações nota máxima que recebemos no Google.
Você não assume risco algum ao escolher a Oral Lotus.
Garantia de Qualidade
Refazemos sem custo adicional qualquer problema por falha técnica
Materiais Premium
Trabalhamos apenas com materiais de primeira linha
Dedicação Total
Sua satisfação é nossa prioridade número 1
Resultados Duradouros
Profissionais experientes para tratamentos que duram
Nossos Programas de Benefícios
Valorizamos cada paciente e queremos recompensar sua confiança. Conheça nossos programas de indicação e fidelidade.
Programa de Indicação
Compartilhe sorrisos e ganhe recompensas! Cada indicação beneficia você e quem você ama.
Como Funciona?
Indique Amigos e Familiares
Compartilhe sua experiência positiva e indique pessoas queridas para conhecerem a Oral Lotus.
Eles Agendam e Realizam o Tratamento
Quando a pessoa indicada agenda e realiza qualquer tratamento conosco, você acumula benefícios.
Você Ganha Descontos
Receba descontos progressivos nos seus próximos tratamentos. Quanto mais indicar, maiores os benefícios.
💡 Dica: Não há limite de indicações! Quanto mais você indica, mais descontos acumula para usar em seus próximos tratamentos.
Programa de Fidelidade
Seu sorriso merece ser valorizado! Acumule pontos e troque por benefícios incríveis.
Como Funciona?
Acumule Pontos
Cada consulta, procedimento ou produto adquirido gera pontos automaticamente na sua conta.
Troque por Benefícios
Use seus pontos para obter descontos em tratamentos futuros, produtos de higiene bucal ou serviços especiais.
Vantagens Exclusivas
Membros do programa têm prioridade no agendamento, acesso a promoções exclusivas e atendimento VIP.
✨ Pontos Nunca Expiram
Seus pontos ficam guardados e você decide quando usar. Sem pressa, sem preocupação.
🎁 Recompensas Imediatas
Já na primeira consulta você começa a acumular pontos e pode usá-los no próximo atendimento.
Pronto para Começar a Acumular Benefícios?
Entre em contato conosco para saber mais detalhes sobre nossos programas ou agende sua primeira consulta e comece a aproveitar as vantagens hoje mesmo!
Falar no WhatsAppPlanos Odontológicos Aceitos
Trabalhamos com os principais convênios do mercado para facilitar seu atendimento
Sulamérica
AESP
APPAI
METLIFE
HAPVIDA
ODONTOLIFE
INTERODONTO
PARTICULAR
✨ Atendimento direto
📞 Entre em contato para confirmar a cobertura do seu plano e agendar sua consulta com praticidade!
Perguntas Frequentes
Tire suas dúvidas sobre nossos tratamentos
Visite Nossa Clínica
Estamos localizados no coração de São Pedro da Aldeia, fácil de chegar e com estacionamento próximo
Conheça nossa estrutura em vídeo
🗺️ Como Chegar

👆 Clique no mapa para abrir no Google Maps
Endereço
Rua Vinte e Seis de Março, 46
Centro, São Pedro da Aldeia - RJ
CEP: 28941-108
Fácil acesso: Localizado no centro de São Pedro da Aldeia, próximo aos principais pontos comerciais e com estacionamento disponível na região.



